Popper H DFP/CME: Die E-Zigarette, die Alternative zum Zigarettenrauchen? // E-cigarette as alternative to cigarette smoking Journal für Pneumologie 2021; 9 (1): 5-9
DFP/CME-Akademie der Ärzte Volltext (PDF) Summary Übersicht | ||||||||||||||||
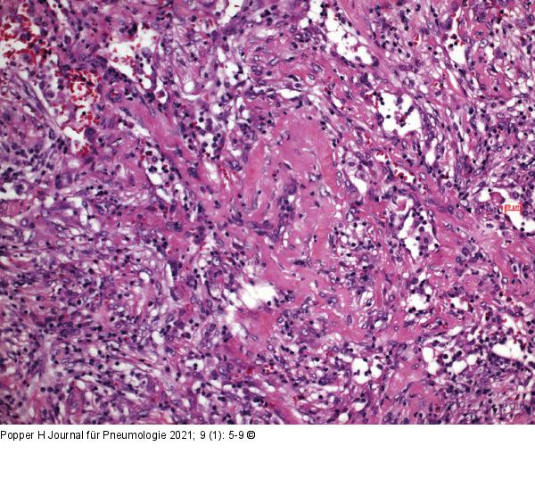
Abbildung 2: DAD - EVALI Diffuse Alveolenzerstörung (DAD) bei einem Patienten, der durch EVALI gestorben ist (H & E, Bar 20 μm). |
Abbildung 2: DAD - EVALI
Diffuse Alveolenzerstörung (DAD) bei einem Patienten, der durch EVALI gestorben ist (H & E, Bar 20 μm). |

