Krause und Pachernegg
Verlag für Medizin und Wirtschaft
Artikel   Bilder   Volltext

Mobile Version
A-  |   A  |   A+
Werbung
 
Abbildungen und Graphiken
Blessberger H et al.  
EPU-Corner: Eiskalt abladiert – erfolgreiche Kryo-Ablation einer parahisären akzessorischen Leitungsbahn

Journal für Kardiologie - Austrian Journal of Cardiology 2024; 31 (11-12): 294-297

Volltext (PDF)    Abbildungen   


Abbildung
 
Ablation
Abbildung 1: 12-Kanal-EKG vor Ablation (A) mit Präexzitation und nach Ablation (B) ohne Präexzitation.


Keywords: EKGKardiologie
 
 
HRA-Katheter - His-Katheter - CS-Katheter - RVA-Katheter
Abbildung 2: Elektrophysiologische Untersuchung mit HRA-, His-, CS- und RVA-Kathetern. (A): Im Sinusrhythmus zeigt sich ein deutliches Fusionspotenzial (Pfeil) im Bereich des distalen His. Auch bei einer spontanen ventrikulären Extrasystole ist die früheste atriale Erregung im Fusionspotenzial an der distalen His-Elektrode. (B): Unter programmierter ventrikulärer Stimulation mit 300 ms kann eine orthodrome AV-Reentrytachykardie mit einer Zykluslänge von 330 ms ausgelöst werden (Pfeil). Früheste retrograde atriale Signale befinden sich am distalen His-Kanal. (C): Nach mechanischer Irritation der His-Region durch den Ablationskatheter ist die Bahn refraktär und ein klassisches His-Signal (Pfeil) kann abgeleitet werden. (D): Schon nach wenigen Minuten erholt sich aber die Bahnleitung erneut (Pfeil). Das His-Signal ist nun wieder im Ventrikelsignal verborgen.


Keywords: Elektrophysiologische UntersuchungKardiologie
 
 
3D-Anatomie - Rechter Vorhof
Abbildung 3: 3D-Anatomie (EnSiteX™) des rechten Vorhofes (RA) mit Sinus coronarius (CS), Vena cava superior (VCS) und Vena cava inferior (VCI). Die gelben Punkte kennzeichnen die His-Region. Der Kryo-Tip-Ablationskatheter (Freezor™ Xtra) ist mit grüner Spitze dargestellt. (A): Local Activation Time Map bei Stimulation aus dem rechten Ventrikel. Die früheste atriale Erregung ist in weiß, die späteste in violett dargestellt. (B): Markierung des erfolgreichen Kryo-Ablationspunktes (blau) direkt im His-Bereich. (C): Darstellung des Kryo-Ablationskatheters während der Kryo-Ablation ohne „Stabilize ABL“-Funktion. (D): Darstellung des Kryo-Ablationskatheters während der Kryo-Ablation mit „Stabilize ABL“-Funktion.


Keywords: 3D-AnatomieEnSiteX™Kardiologie
 
 
Kryo-Ablation
Abbildung 4: Temperatur bei der Kryo-Ablation. Nach 40 Sekunden „Kryo-Mapping“ bei –30 °C (reversibler Gewebeschaden) erfolgt die Kryo-Ablation bei –80 °C über 4 Minuten (irreversibler Gewebeschaden).


Keywords: KardiologieMonitoring
 
 
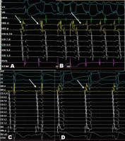
Kryo-Ablation
Abbildung 5: Intrakardiale Elektrogramme während der Kryo-Ablation. His-Katheter liegt im rechten Ventrikel, CS-Katheter in CS-Position, Kryo-Tip-Ablationskatheter (Abl) am atrialen Exit der parahisären akzessorischen Leitungsbahn. (A): Unter Ruhebedingungen zeigt sich im Sinusrhythmus ein Fusionspotenzial am Abl mit frühester ventrikulärer Erregung. Im Oberflächen-EKG zeigt sich eine deutliche Präexzitation. (B): Start des Kryo-Mappings mit Artefaktbildung auf der Ableitung des Abls (Pfeil). (C): Während des Kryo-Mappings Verlust der Präexzitation im Oberflächen-EKG mit Auftauchen des His-Signals am Abl (Pfeile). (D): Nun Start der Kryo-Ablation nach 40 Sekunden (Pfeil). (E): Nach Beendigung der vierminütigen Kryo-Ablation zeigt sich am Abl ein großes, klassisches His-Signal.


Keywords: KardiologieMonitoring
 
 
 
copyright © 2000–2026 Krause & Pachernegg GmbH | Sitemap | Datenschutz | Impressum
 
Werbung