Verlag für Medizin und Wirtschaft
Artikel
Bilder
Volltext
Mobile Version
A-
|
A
|
A+
Werbung
Abo
Bestellung Jahresabonnement (Print/elektronisch)
Bestellung kostenloses e-Journal-Abo
Mediadaten
Journale
News
Datenbanken
Suche Medizinische Publikationen
Suche Abbildungen und Grafiken
Medizinprodukte - Labortechnik
Antidotarium (Stand 2012)
Phytokodex (Stand 2012)
Fortbildung
Bücher
Fachbücher
Patientenliteratur
Impressum
Offenlegung
Kontakt
Disclaimers & Copyright
Allgemeine Geschäftsbedingungen
Datenschutzerklärung
Sitemap
Abbildungen und Graphiken
Stöckl M
Aktuelles: Revaskularisierung einer koronaren Dreigefäßerkrankung mit nur einem DES
Journal für Kardiologie - Austrian Journal of Cardiology 2025; 32 (7-8)
: 180-182
Volltext (PDF)
Abbildungen
Abbildung
Vollbildansicht
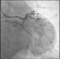
RCA
Abbildung 1: RCA: proximal wirksam und im mittleren Hauptstamm hochgradig stenosiert (schuldige Läsion)
Keywords:
Angiographie
,
Gefäßmedizin
,
koronare Dreigefäßerkrankung
,
RCA
Vollbildansicht
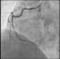
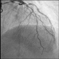
LAD
Abbildung 2: LAD: im mittleren Gefäßabschnitt langstreckig verkalkt, wirksam stenosiert
Keywords:
Angiographie
,
Gefäßmedizin
,
koronare Dreigefäßerkrankung
,
LAD
Vollbildansicht
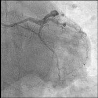
CX
Abbildung 3: CX: chronischer Verschluss eines Marginalastes
Keywords:
Angiographie
,
CX
,
Gefäßmedizin
,
koronare Dreigefäßerkrankung
Vollbildansicht
RCA: Drug Eluting Balloons
Abbildung 4: RCA: Drug Eluting Balloons (DEBs) SELUTION SLR™ 3,5/20 mm und 3,5/30 mm (Cordis)
Keywords:
Angiographie
,
Drug Eluting Balloon
,
Gefäßmedizin
,
koronare Dreigefäßerkrankung
Vollbildansicht
RCA: Angioplastieergebnis
Abbildung 5: RCA: Angioplastieergebnis: kein relevantes Recoil, keine relevante Dissektion
Keywords:
Angiographie
,
Gefäßmedizin
,
koronare Dreigefäßerkrankung
Vollbildansicht
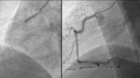
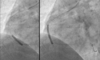
CX: Ballon
Abbildung 6: CX: Ryurei 1,25/15 mm Ballon (Terumo) sowie NEON™ 2,0/20 mm Ballon, anschließend SELUTION SLR™ 2,0/20 mm DEBs
Keywords:
Angiographie
,
Ballon
,
Gefäßmedizin
,
koronare Dreigefäßerkrankung
Vollbildansicht
LAD: Ballon
Abbildung 7: LAD: NEON™ NC 2,75/20 mm Ballon (Cordis): Dissektion
Keywords:
Angiographie
,
Ballon
,
Gefäßmedizin
,
koronare Dreigefäßerkrankung
Vollbildansicht
Ergebnis
Abbildung 8: Ergebnis der Stentimplantation
Keywords:
Angiographie
,
Gefäßmedizin
,
koronare Dreigefäßerkrankung
copyright © 2000–2026
Krause & Pachernegg GmbH
|
Sitemap
|
Datenschutz
|
Impressum
Werbung