Stöckl M Aktuelles: Revaskularisierung einer koronaren Dreigefäßerkrankung mit nur einem DES Journal für Kardiologie - Austrian Journal of Cardiology 2025; 32 (7-8): 180-182 Volltext (PDF) Übersicht | ||||||||||||||||||
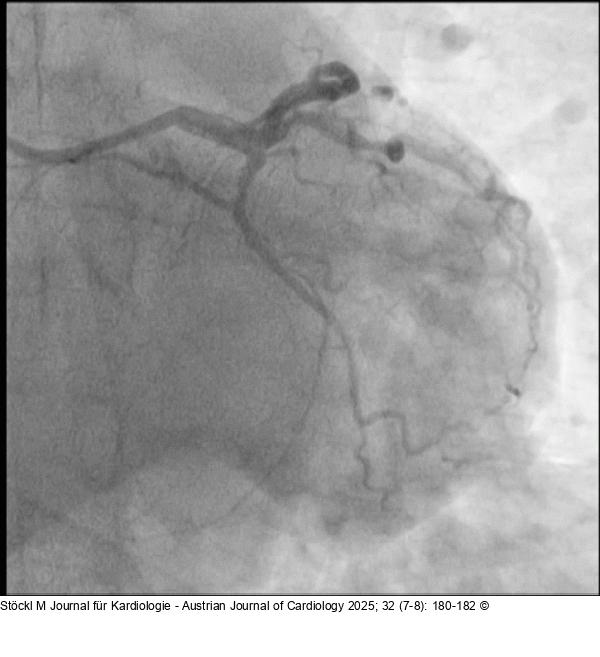
Abbildung 6: CX: Ballon CX: Ryurei 1,25/15 mm Ballon (Terumo) sowie NEON™ 2,0/20 mm Ballon, anschließend SELUTION SLR™ 2,0/20 mm DEBs |
Abbildung 6: CX: Ballon
CX: Ryurei 1,25/15 mm Ballon (Terumo) sowie NEON™ 2,0/20 mm Ballon, anschließend SELUTION SLR™ 2,0/20 mm DEBs |
