Stöckl M Aktuelles: Revaskularisierung einer koronaren Dreigefäßerkrankung mit nur einem DES Journal für Kardiologie - Austrian Journal of Cardiology 2025; 32 (7-8): 180-182 Volltext (PDF) Übersicht | ||||||||||||||||
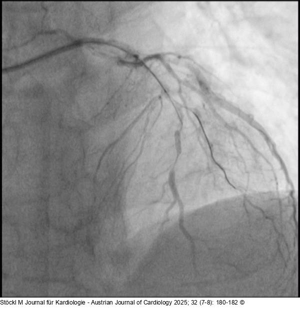
Abbildung 2: LAD LAD: im mittleren Gefäßabschnitt langstreckig verkalkt, wirksam stenosiert |
Abbildung 2: LAD
LAD: im mittleren Gefäßabschnitt langstreckig verkalkt, wirksam stenosiert |
