Stöckl M Aktuelles: Revaskularisierung einer koronaren Dreigefäßerkrankung mit nur einem DES Journal für Kardiologie - Austrian Journal of Cardiology 2025; 32 (7-8): 180-182 Volltext (PDF) Übersicht | ||||||||||||||||||
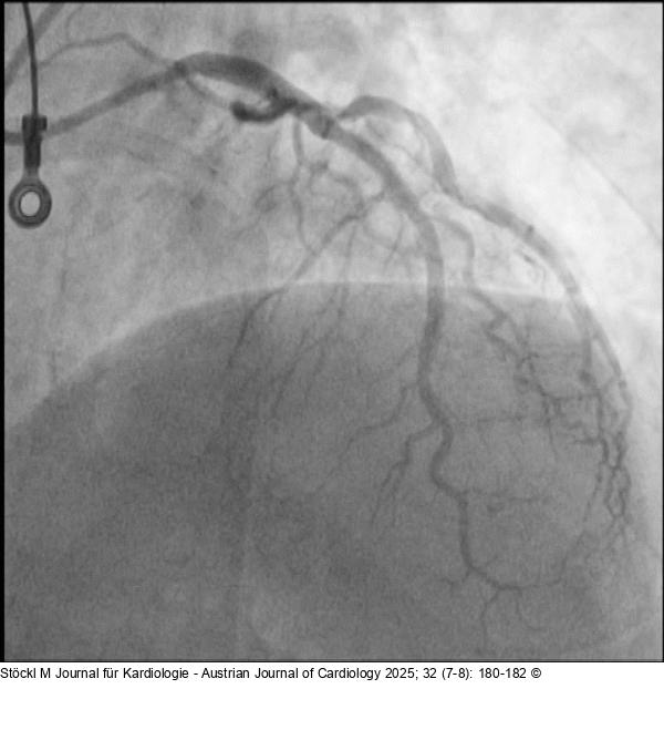
Abbildung 8: Ergebnis Ergebnis der Stentimplantation |
