Stöckl M Aktuelles: Revaskularisierung einer koronaren Dreigefäßerkrankung mit nur einem DES Journal für Kardiologie - Austrian Journal of Cardiology 2025; 32 (7-8): 180-182 Volltext (PDF) Übersicht | ||||||||||||||||||
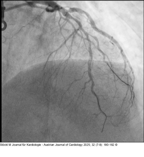
Abbildung 7: LAD: Ballon LAD: NEON™ NC 2,75/20 mm Ballon (Cordis): Dissektion |
Abbildung 7: LAD: Ballon
LAD: NEON™ NC 2,75/20 mm Ballon (Cordis): Dissektion |
