Krause und Pachernegg
Verlag für Medizin und Wirtschaft
Artikel   Bilder   Volltext

Mobile Version
A-  |   A  |   A+
Werbung
 
Abbildungen mit Filmsequenzen
Wallner H  
Subclavian-steal-Syndrom

Zeitschrift für Gefäßmedizin 2005; 2 (4): 20-21

Volltext (PDF)    Fallbeschreibung    Abbildungen mit Filmsequenzen   


Abbildung
 
OA Dr. med. Hubert Wallner, Leiter Angiographielabor, Innere Medizin, KH Schwarzach; A-5620 Schwarzach
Abbildung 0


Keywords: Gefäßmedizin
 
 
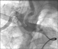
Judkins-Katheter
Abbildung 1: Darstellung der linken Arteria subclavia mit normaler Weite und antegradem Fluß der Arteria vertebralis mittels Judkins-Katheter von transfemoral rechts.


Keywords: Arteria subclaviaArteria vertebralisGefäßmedizinKatheterKoronarangiographie

Film starten
 
 
Stenose - Arbeitsprojektion
Abbildung 2: 3-D-Rekonstruktion der Stenose zur Festlegung der besten Arbeitsprojektion.


Keywords: GefäßmedizinKoronarangiographieLumenreduktionTruncus brachiocephalicus

Film starten
 
 
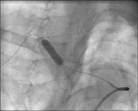
Vordilatation
Abbildung 3: Vordilatation mit Ballon.


Keywords: BallonGefäßmedizinKatheterKoronarangiographie

Film starten
 
 
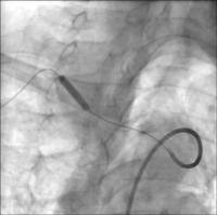
Stentposition
Abbildung 4: Freisetzung des selbstexpandierenden Stents (Luminexx 3™, 14x30/135cm, Bard. Technisch war es notwendig, den Draht zurückzuziehen, um eine optimale Stentposition zu erreichen.


Keywords: GefäßmedizinKoronarangiographieStentStentposition

Film starten
 
 
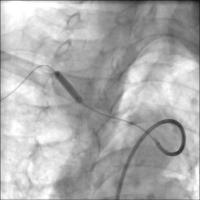
Postdilatation
Abbildung 5: Postdilatation (Pheron™, Biotronik, 8x20 mm/135 cm)


Keywords: GefäßmedizinKoronarangiographiePostdilatation

Film starten
 
 
Abschlußangiographie
Abbildung 6: Abschlußangiographie mit guter Stentplazierung bei uneingeschränkten Flußverhältnissen in der Arteria carotis communis und antegradem Fluß in der Arteria vertebralis.


Keywords: Arteria carotis communisArteria vertebralisGefäßmedizinKoronarangiographieStent

Film starten
 
 
 
copyright © 2000–2026 Krause & Pachernegg GmbH | Sitemap | Datenschutz | Impressum
 
Werbung