Wallner H Subclavian-steal-Syndrom Zeitschrift für Gefäßmedizin 2005; 2 (4): 20-21 Volltext (PDF) Fallbeschreibung Übersicht
| ||||||||||||||||
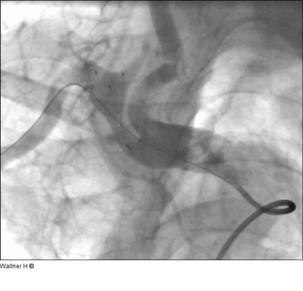
Abbildung 6: Abschlußangiographie Abschlußangiographie mit guter Stentplazierung bei uneingeschränkten Flußverhältnissen in der Arteria carotis communis und antegradem Fluß in der Arteria vertebralis. |
Film starten
Abbildung 6: Abschlußangiographie
Abschlußangiographie mit guter Stentplazierung bei uneingeschränkten Flußverhältnissen in der Arteria carotis communis und antegradem Fluß in der Arteria vertebralis. |
