Wallner H Subclavian-steal-Syndrom Zeitschrift für Gefäßmedizin 2005; 2 (4): 20-21 Volltext (PDF) Fallbeschreibung Übersicht
| ||||||||||||||||
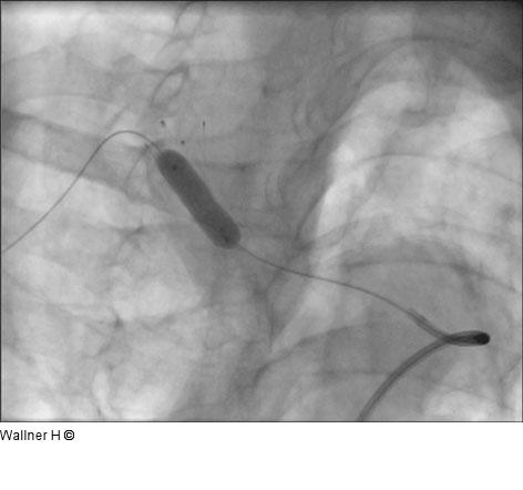
Abbildung 5: Postdilatation Postdilatation (Pheron™, Biotronik, 8x20 mm/135 cm) |
Film starten
Abbildung 5: Postdilatation
Postdilatation (Pheron™, Biotronik, 8x20 mm/135 cm) |
