Wallner H Subclavian-steal-Syndrom Zeitschrift für Gefäßmedizin 2005; 2 (4): 20-21 Volltext (PDF) Fallbeschreibung Übersicht
| ||||||||||||||||
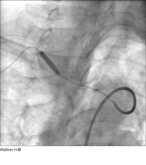
Abbildung 4: Stentposition Freisetzung des selbstexpandierenden Stents (Luminexx 3™, 14x30/135cm, Bard. Technisch war es notwendig, den Draht zurückzuziehen, um eine optimale Stentposition zu erreichen. |
Film starten
Abbildung 4: Stentposition
Freisetzung des selbstexpandierenden Stents (Luminexx 3™, 14x30/135cm, Bard. Technisch war es notwendig, den Draht zurückzuziehen, um eine optimale Stentposition zu erreichen. |
