Wallner H Subclavian-steal-Syndrom Zeitschrift für Gefäßmedizin 2005; 2 (4): 20-21 Volltext (PDF) Fallbeschreibung Übersicht
| ||||||||||||||||
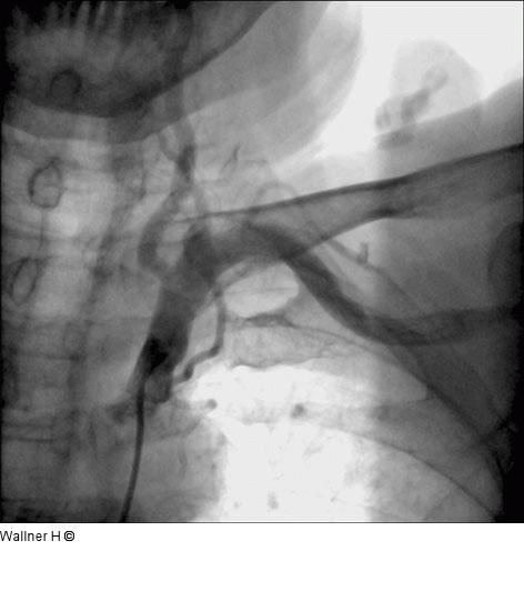
Abbildung 1: Judkins-Katheter Darstellung der linken Arteria subclavia mit normaler Weite und antegradem Fluß der Arteria vertebralis mittels Judkins-Katheter von transfemoral rechts. |
Film starten
Abbildung 1: Judkins-Katheter
Darstellung der linken Arteria subclavia mit normaler Weite und antegradem Fluß der Arteria vertebralis mittels Judkins-Katheter von transfemoral rechts. |
