Krause und Pachernegg
Verlag für Medizin und Wirtschaft
Artikel   Bilder   Volltext

Mobile Version
A-  |   A  |   A+
Werbung
 
Abbildungen und Graphiken
Leder G et al.  
Chronische Pankreatitis - seltene Komplikationen: von chronisch-onkologisch bis zur akuten Hämorrhagie

Journal für Gastroenterologische und Hepatologische Erkrankungen 2007; 5 (4): 13-21

Volltext (PDF)    Summary    Abbildungen   


Abbildung
 
Chronische Pankreatitis
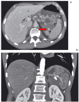
Abbildung 1: a) Die CT vom 4.7. 2003 zeigt eine partiell zystische Raumforderung im Pankreasschwanz (eingemessener Durchmesser 2,2 x 1,9 cm), die als Zystadenokarzinom interpretiert wurde, sich letztlich aber als nekrosenhaltige Pseudozyste bei Pankreatitis herausstellte. Zeichen der Pankreatitis sind die aufgelockerte Struktur des Pankreas und seine unscharfe Abgrenzung zur Umgebung. b) Nach Pankreasschwanzresektion zeigt diese am 11.8.2003 zur Abklärung einer postoperativen Blutung angefertigte CT nebenbefundlich einen dilatierten Pankreasgang im Korpus und eine Restnekrose im ehemaligen Pankreasschwanzareal.


Keywords: chronische PankreatitisComputertomographieCTGastroenterologie
 
 
Chronische Pankreatitis
Abbildung 2: a) Die ERCP vom 15.3.2004 zeigt via die große Papille das normale Gallengangsystem und den Ductus Wirsungianus. b) Über die Minorpapille (→) wurde der im Kopfbereich schmale Ductus Santorini und der im Korpus leicht dilatierte Pankreashauptgang angespritzt. Im Bereich des Kopfes besteht eine leichte Kompression des Hauptganges (←).


Keywords: chronische PankreatitisERCPGastroenterologie
 
 
Chronische Pankreatitis
Abbildung 3: a) Die ERCP vom 13.7.2005 zeigt via die Minorpapille die mittlerweile deutlichere Einengung des Ductus Santorini im Bereich des Pankreaskopfes und den konsekutiven Gangaufstau des Hauptganges (Ductus Wirsungianus). b) Bei weiterem Anspritzen des Ganges tritt Kontrastmittel in die später intraoperativ als nekrosehaltig identifizierte Pseudozyste über.


Keywords: chronische PankreatitisERCPGastroenterologie
 
 
Chronische Pankreatitis
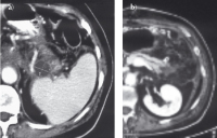
Abbildung 4: a) Der Leberabszeß mit Satellitenherden durchsetzt den linken Leberlappen (CT 8.8.2005). Die weiße Struktur entspricht dem über den Ductus Santorini in den Hauptpankreasgang eingelegten Stent. b) Präparat der linksseitigen Lobektomie vom 18.8.2005 mit eröffneten Leberabszessen.


Keywords: chronische PankreatitisFotoGastroenterologieLeberabszess
 
 
Chronische Pankreatitis
Abbildung 5: Die sich erstmals darstellende hypodense Raumforderung (→) im Pankreaskopf führt zu b) zunehmender Pankreasgangerweiterung (→) im Korpus/Schwanz (CT 13.9.05).


Keywords: chronische PankreatitisComputertomographieCTGastroenterologie
 
 
Chronische Pankreatitis
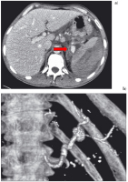
Abbildung 6: a) Pankreaspseudozysten mit Milzarterienaneurysma (→). b) Die Gefäßrekonstruktion zeigt das Pseudoaneurysma noch deutlicher sowie die distal davon nur schmächtige A. lienalis.


Keywords: chronische PankreatitisComputertomographieCTGastroenterologie
 
 
Chronische Pankreatitis
Abbildung 7: a) Die Milz ist durch ein geschichtetes, subkapsuläres, ventral rupturiertes Hämatom massiv vergrößert (CT 20.1. 2007, venöse Phase). Gegenüber der Leber ist die Durchblutung der Milz vermindert. Das Pseudoaneurysma (→) ist größenprogredient. b) Die Gefäßrekonstruktion zeigt das Pseudoaneurysma und die distal davon nur noch dünne A. lienalis.


Keywords: chronische PankreatitisComputertomographieCTGastroenterologie
 
 
 
copyright © 2000–2026 Krause & Pachernegg GmbH | Sitemap | Datenschutz | Impressum
 
Werbung