Leder G, Klein S, Buttenschoen K, Henne-Bruns D Chronische Pankreatitis - seltene Komplikationen: von chronisch-onkologisch bis zur akuten Hämorrhagie Journal für Gastroenterologische und Hepatologische Erkrankungen 2007; 5 (4): 13-21 Volltext (PDF) Summary Übersicht | ||||||||||||||||
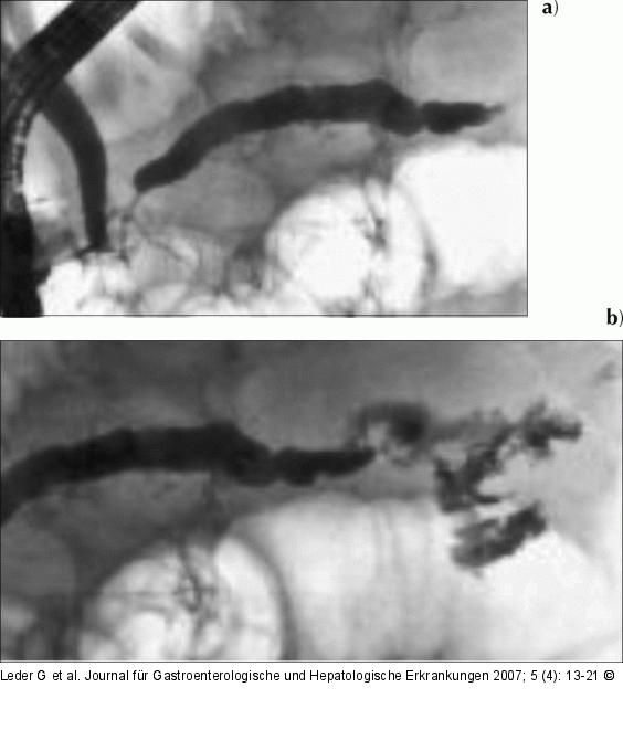
Abbildung 3: Chronische Pankreatitis a) Die ERCP vom 13.7.2005 zeigt via die Minorpapille die mittlerweile deutlichere Einengung des Ductus Santorini im Bereich des Pankreaskopfes und den konsekutiven Gangaufstau des Hauptganges (Ductus Wirsungianus). b) Bei weiterem Anspritzen des Ganges tritt Kontrastmittel in die später intraoperativ als nekrosehaltig identifizierte Pseudozyste über. |
Abbildung 3: Chronische Pankreatitis
a) Die ERCP vom 13.7.2005 zeigt via die Minorpapille die mittlerweile deutlichere Einengung des Ductus Santorini im Bereich des Pankreaskopfes und den konsekutiven Gangaufstau des Hauptganges (Ductus Wirsungianus). b) Bei weiterem Anspritzen des Ganges tritt Kontrastmittel in die später intraoperativ als nekrosehaltig identifizierte Pseudozyste über. |
