Leder G, Klein S, Buttenschoen K, Henne-Bruns D Chronische Pankreatitis - seltene Komplikationen: von chronisch-onkologisch bis zur akuten Hämorrhagie Journal für Gastroenterologische und Hepatologische Erkrankungen 2007; 5 (4): 13-21 Volltext (PDF) Summary Übersicht | ||||||||||||||||
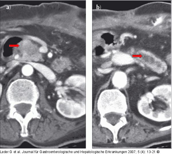
Abbildung 5: Chronische Pankreatitis Die sich erstmals darstellende hypodense Raumforderung (→) im Pankreaskopf führt zu b) zunehmender Pankreasgangerweiterung (→) im Korpus/Schwanz (CT 13.9.05). |
Abbildung 5: Chronische Pankreatitis
Die sich erstmals darstellende hypodense Raumforderung (→) im Pankreaskopf führt zu b) zunehmender Pankreasgangerweiterung (→) im Korpus/Schwanz (CT 13.9.05). |
