| Leder G et al. | ||||||||||||||||
|---|---|---|---|---|---|---|---|---|---|---|---|---|---|---|---|---|
|
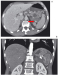
Chronische Pankreatitis - seltene Komplikationen: von chronisch-onkologisch bis zur akuten Hämorrhagie Journal für Gastroenterologische und Hepatologische Erkrankungen 2007; 5 (4): 13-21 Volltext (PDF) Summary Abbildungen Keywords: Chirurgie, chronische Pankreatitis, Gastroenterologie, Pankreas, Radiologie Die chronische Pankreatitis ist durch eine große Bandbreite von Ursachen, klinischen Ausprägungsgraden und morphologischen Erscheinungsformen gekennzeichnet. Durch adäquate konservative Behandlung lassen sich Verläufe über Jahre symptomarm oder -frei beherrschen. Standardisierte Operationen haben sich durch Minimierung operativer und postoperativer Risiken zur Beseitigung von Gangabflußstörungen und Schmerzen zunehmend etabliert. Nach wie vor bestehen aber die besonderen Herausforderungen an Diagnostik und Therapie darin, die Pankreatitis gegen andere Krankheitsbilder, insbesondere das Pankreaskarzinom, abzugrenzen und bei den oft lange konstanten Verläufen akute Komplikationen zu erkennen und zu behandeln. Diese Schwierigkeiten werden in der Übersicht dargestellt, wobei die aus der Literatur gewonnenen Behandlungsmaximen zur Verdeutlichung der Relevanz für die Klinik konkret an zwei Patientenverläufen diskutiert werden: Zunächst stellt sich bei einer 63jährigen Patientin mit Alkohol- und Nikotinabusus, Hyperlipidämie, Pancreas divisum und einer über 2 Jahre unterschiedlich floriden, z.T. nekrotisierenden Pankreatitis mit konsekutiver Pseudozystenausbildung als Ursache der Pankreasgangabflußstörung ein Pankreaskopfkarzinom heraus, das mittels partieller Duodenopankreatektomie nach Whipple behandelt wurde. Beim zweiten, 47jährigen Patienten mit chronischer, ethyltoxischer Pankreatitis mit Arrosionsblutung eines Pseudoaneurysmas der Milzarterie und Milzruptur bei hämorrhagischem Milzinfarkt bei Milzvenenverschluß wird ersichtlich, wie sich ein scheinbar stabiler Verlauf akut dramatisch entwickeln kann. |
