Leder G, Klein S, Buttenschoen K, Henne-Bruns D Chronische Pankreatitis - seltene Komplikationen: von chronisch-onkologisch bis zur akuten Hämorrhagie Journal für Gastroenterologische und Hepatologische Erkrankungen 2007; 5 (4): 13-21 Volltext (PDF) Summary Übersicht | ||||||||||||||||
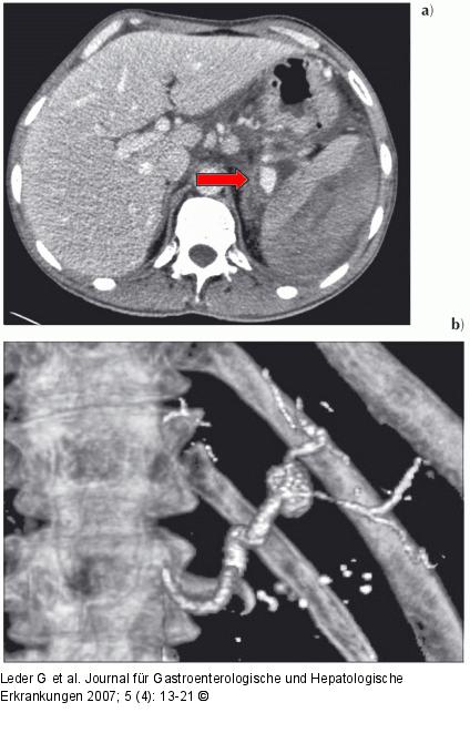
Abbildung 7: Chronische Pankreatitis a) Die Milz ist durch ein geschichtetes, subkapsuläres, ventral rupturiertes Hämatom massiv vergrößert (CT 20.1. 2007, venöse Phase). Gegenüber der Leber ist die Durchblutung der Milz vermindert. Das Pseudoaneurysma (→) ist größenprogredient. b) Die Gefäßrekonstruktion zeigt das Pseudoaneurysma und die distal davon nur noch dünne A. lienalis. |
Abbildung 7: Chronische Pankreatitis
a) Die Milz ist durch ein geschichtetes, subkapsuläres, ventral rupturiertes Hämatom massiv vergrößert (CT 20.1. 2007, venöse Phase). Gegenüber der Leber ist die Durchblutung der Milz vermindert. Das Pseudoaneurysma (→) ist größenprogredient. b) Die Gefäßrekonstruktion zeigt das Pseudoaneurysma und die distal davon nur noch dünne A. lienalis. |
