Leder G, Klein S, Buttenschoen K, Henne-Bruns D Chronische Pankreatitis - seltene Komplikationen: von chronisch-onkologisch bis zur akuten Hämorrhagie Journal für Gastroenterologische und Hepatologische Erkrankungen 2007; 5 (4): 13-21 Volltext (PDF) Summary Übersicht | ||||||||||||||||
Abbildung 6: Chronische Pankreatitis a) Pankreaspseudozysten mit Milzarterienaneurysma (→). b) Die Gefäßrekonstruktion zeigt das Pseudoaneurysma noch deutlicher sowie die distal davon nur schmächtige A. lienalis. |
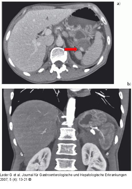
Abbildung 6: Chronische Pankreatitis
a) Pankreaspseudozysten mit Milzarterienaneurysma (→). b) Die Gefäßrekonstruktion zeigt das Pseudoaneurysma noch deutlicher sowie die distal davon nur schmächtige A. lienalis. |
