Verlag für Medizin und Wirtschaft
Artikel
Bilder
Volltext
Mobile Version
A-
|
A
|
A+
Werbung
Abo
Bestellung Jahresabonnement (Print/elektronisch)
Bestellung kostenloses e-Journal-Abo
Mediadaten
Journale
News
Datenbanken
Suche Medizinische Publikationen
Suche Abbildungen und Grafiken
Medizinprodukte - Labortechnik
Antidotarium (Stand 2012)
Phytokodex (Stand 2012)
Fortbildung
Bücher
Fachbücher
Patientenliteratur
Impressum
Offenlegung
Kontakt
Disclaimers & Copyright
Allgemeine Geschäftsbedingungen
Datenschutzerklärung
Sitemap
Abbildungen und Graphiken
Deinsberger R
Evidenzbasierte Neurotraumatologie
Journal für Neurologie, Neurochirurgie und Psychiatrie 2008; 9 (3)
: 20-27
Volltext (PDF)
Summary
Praxisrelevanz
Abbildungen
Abbildung
Vollbildansicht
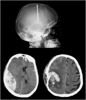
Nagelschussverletzung
Abbildung 1: Nagelschussverletzung, Epiduralhämatom und Impressionsfraktur mit Kontusionsblutung
Keywords:
Nagelschussverletzung
,
Neurochirurgie
,
Röntgenbild
Vollbildansicht
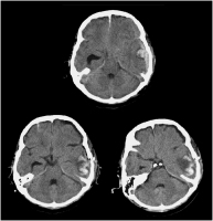
Kontusionsblutung
Abbildung 2: Patient mit Zunahme der Kontusionsblutungen 24 Stunden nach Operation des Epiduralhämatoms
Keywords:
Kontusionsblutung
,
Neurochirurgie
,
Röntgenbild
Vollbildansicht
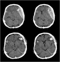
Kontusionsblutung
Abbildung 3: Verlauf einer Kontusionsblutung akut, 24 und 72 Stunden nach Trauma
Keywords:
Kontusionsblutung
,
Neurochirurgie
,
Röntgenbild
Vollbildansicht
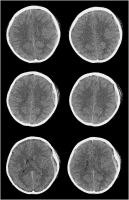
Epiduralhämatom
Abbildung 4: 5-jähriges Kind mit akutem Epiduralhämatom 1 Stunde, 3 Stunden und 8 Stunden nach Trauma
Keywords:
Epiduralhämatom
,
Neurochirurgie
,
Röntgenbild
copyright © 2000–2026
Krause & Pachernegg GmbH
|
Sitemap
|
Datenschutz
|
Impressum
Werbung