Deinsberger R Evidenzbasierte Neurotraumatologie Journal für Neurologie, Neurochirurgie und Psychiatrie 2008; 9 (3): 20-27 Volltext (PDF) Summary Praxisrelevanz Übersicht | ||||||||
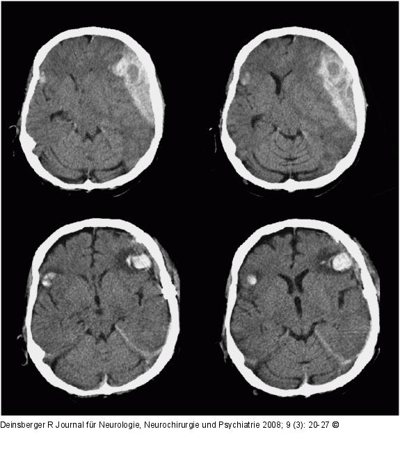
Abbildung 2: Kontusionsblutung Patient mit Zunahme der Kontusionsblutungen 24 Stunden nach Operation des Epiduralhämatoms |
Abbildung 2: Kontusionsblutung
Patient mit Zunahme der Kontusionsblutungen 24 Stunden nach Operation des Epiduralhämatoms |
