| Deinsberger R | ||||||||
|---|---|---|---|---|---|---|---|---|
|
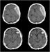
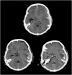
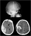
Evidenzbasierte Neurotraumatologie Journal für Neurologie, Neurochirurgie und Psychiatrie 2008; 9 (3): 20-27 Volltext (PDF) Summary Praxisrelevanz Abbildungen Keywords: Neurochirurgie, Neurotraumatologie Evidenzbasierte Medizin bedeutet die individuelle klinische Erfahrung mit der besten verfügbaren Evidenz aus systematischer Forschung zu vereinbaren. In der Neurotraumatologie lassen sich in der Akutphase kaum prospektive randomisierte Studien durchführen. Während der Behandlung von Patienten mit Schädelhirntrauma (SHT) kommt es immer wieder zu alltäglichen Fragestellungen, wie Zeitpunkt des Beginns der Thromboseprophylaxe, antikonvulsive Prophylaxe, Indikation und Art der Hirndruckmessung, Häufigkeit zerebraler CT-Kontrollen, auf die wir uns wissenschaftlich fundierte Antworten wünschen. Ziel dieser Arbeit war es, evidenzbasierte Antworten auf diese Fragen zu finden. Die zu den einzelnen Fragestellungen publizierten Studien wurden in prospektiv-randomisierte, retrospektive Studien und Fallberichte unterteilt. Dementsprechend ließ sich eine Therapierichtlinie bezogen auf spezifische Fragestellungen herausarbeiten. Bei fehlender wissenschaftlicher Grundlage wurden Therapieempfehlungen ausgearbeitet und in einigen Fällen ließ sich nur auf Expertenmeinungen hinweisen. |
