Deinsberger R Evidenzbasierte Neurotraumatologie Journal für Neurologie, Neurochirurgie und Psychiatrie 2008; 9 (3): 20-27 Volltext (PDF) Summary Praxisrelevanz Übersicht | ||||||||
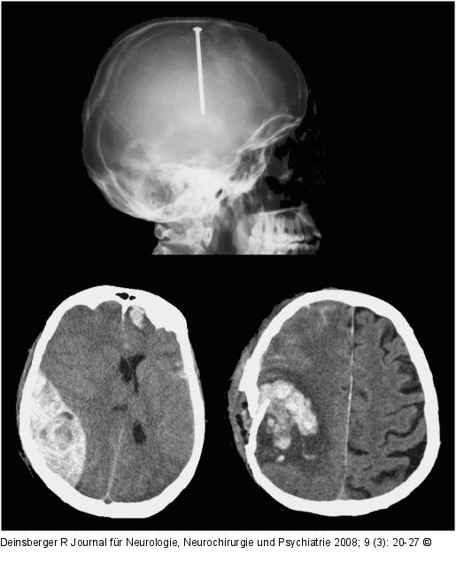
Abbildung 1: Nagelschussverletzung Nagelschussverletzung, Epiduralhämatom und Impressionsfraktur mit Kontusionsblutung |
Abbildung 1: Nagelschussverletzung
Nagelschussverletzung, Epiduralhämatom und Impressionsfraktur mit Kontusionsblutung |
