Deinsberger R Evidenzbasierte Neurotraumatologie Journal für Neurologie, Neurochirurgie und Psychiatrie 2008; 9 (3): 20-27 Volltext (PDF) Summary Praxisrelevanz Übersicht | ||||||||
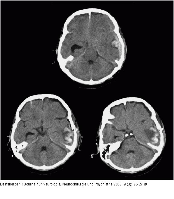
Abbildung 3: Kontusionsblutung Verlauf einer Kontusionsblutung akut, 24 und 72 Stunden nach Trauma |
Abbildung 3: Kontusionsblutung
Verlauf einer Kontusionsblutung akut, 24 und 72 Stunden nach Trauma |
