Koller M Therapie bei Bandscheibenerkrankungen Journal für Neurologie, Neurochirurgie und Psychiatrie 2011; 12 (1): 16-21 Volltext (PDF) Summary Praxisrelevanz Übersicht | ||||||||||||||||||
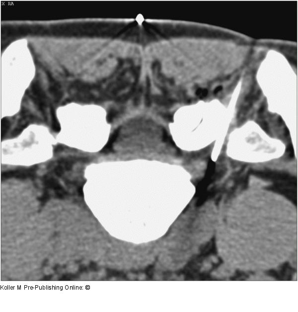
Abbildung 8: Nervenwurzelinfiltration CT-gezielte Nervenwurzelinfiltration |
Abbildung 8: Nervenwurzelinfiltration
CT-gezielte Nervenwurzelinfiltration |
