Koller M Therapie bei Bandscheibenerkrankungen Journal für Neurologie, Neurochirurgie und Psychiatrie 2011; 12 (1): 16-21 Volltext (PDF) Summary Praxisrelevanz Übersicht | ||||||||||||||||||
Abbildung 10: Spondylodese Ventrale Spondylodese L5/S1 mit verschraubbarem Cage |
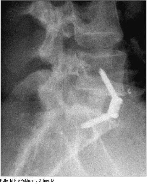
Abbildung 10: Spondylodese
Ventrale Spondylodese L5/S1 mit verschraubbarem Cage |
