Schima W, Ba-Ssalamah A Computertomographie- und Magnetresonanztomographie-Diagnostik in der Gastroenterologie: Leber, Gallenblase, Gallenwege und Pankreas Journal für Gastroenterologische und Hepatologische Erkrankungen 2012; 10 (3): 20-28 Volltext (PDF) Summary Praxisrelevanz Fragen zum Artikel Übersicht | ||||||||||||||||
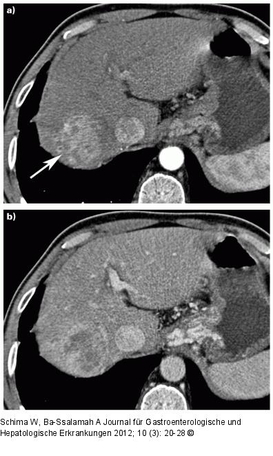
Abbildung 1: HCC Hepatozelluläres Karzinom (HCC). (a) Die kontrastmittelverstärkte MDCT zeigt typischerweise in der arteriellen Phase eine verstärkte Kontrastmittelaufnahme des HCC (Pfeil) im rechten Leberlappen, neben der V. cava inferior. (b) In der venösen Phase zeigt sich ein rascher Wash-out, was typisch für ein HCC ist. |
Abbildung 1: HCC
Hepatozelluläres Karzinom (HCC). (a) Die kontrastmittelverstärkte MDCT zeigt typischerweise in der arteriellen Phase eine verstärkte Kontrastmittelaufnahme des HCC (Pfeil) im rechten Leberlappen, neben der V. cava inferior. (b) In der venösen Phase zeigt sich ein rascher Wash-out, was typisch für ein HCC ist. |
