Schima W, Ba-Ssalamah A Computertomographie- und Magnetresonanztomographie-Diagnostik in der Gastroenterologie: Leber, Gallenblase, Gallenwege und Pankreas Journal für Gastroenterologische und Hepatologische Erkrankungen 2012; 10 (3): 20-28 Volltext (PDF) Summary Praxisrelevanz Fragen zum Artikel Übersicht | ||||||||||||||||||
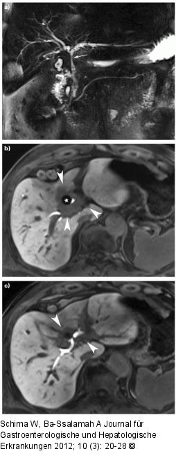
Abbildung 6a-c: Klatskin-Tumor Klatskin-Tumor: Wert des leberspezifischen Kontrastmittels Gadoxetic Acid. (a) Die MRCP zeigt eine Striktur des D. hep. comm. (Pfeil). (b, c) Die Gadoxetic Acid-verstärkte T1-gewichtete Sequenz in der hepatobiliären Phase zeigt die Gallenwege kontrastmittelmarkiert und die umgebende Tumormanschette (Pfeilspitzen). Die Bilder sind trotz eines Metallartefakts (Stern) wegen eines Clips nach CHE beurteilbar. |
Abbildung 6a-c: Klatskin-Tumor
Klatskin-Tumor: Wert des leberspezifischen Kontrastmittels Gadoxetic Acid. (a) Die MRCP zeigt eine Striktur des D. hep. comm. (Pfeil). (b, c) Die Gadoxetic Acid-verstärkte T1-gewichtete Sequenz in der hepatobiliären Phase zeigt die Gallenwege kontrastmittelmarkiert und die umgebende Tumormanschette (Pfeilspitzen). Die Bilder sind trotz eines Metallartefakts (Stern) wegen eines Clips nach CHE beurteilbar. |
