Schima W, Ba-Ssalamah A Computertomographie- und Magnetresonanztomographie-Diagnostik in der Gastroenterologie: Leber, Gallenblase, Gallenwege und Pankreas Journal für Gastroenterologische und Hepatologische Erkrankungen 2012; 10 (3): 20-28 Volltext (PDF) Summary Praxisrelevanz Fragen zum Artikel Übersicht | ||||||||||||||||||
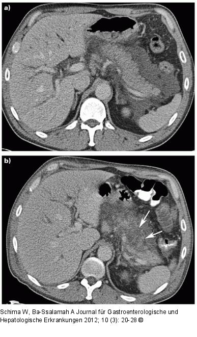
Abbildung 7a-b: Akute Pankreatitis Akute Pankreatitis. (a) Die kontrastmittelverstärkte CT zeigt wenige Stunden nach Beginn der klinischen Symptomatik eine ödematöse Pankreatitis mit peripankreatischen Exsudatstraßen. Das Pankreasparenchym zeigt noch ein homogenes Enhancement. (b) Vier Tage später zeigt die Kontroll-CT eine ausgedehnte Nekrose im Bereich von Pankreas-Corpus und -Cauda (Pfeile), eine relevante Zusatzinformation zu der Ausgangs-CT unmittelbar nach Beginn der klinischen Symptomatik. |
Abbildung 7a-b: Akute Pankreatitis
Akute Pankreatitis. (a) Die kontrastmittelverstärkte CT zeigt wenige Stunden nach Beginn der klinischen Symptomatik eine ödematöse Pankreatitis mit peripankreatischen Exsudatstraßen. Das Pankreasparenchym zeigt noch ein homogenes Enhancement. (b) Vier Tage später zeigt die Kontroll-CT eine ausgedehnte Nekrose im Bereich von Pankreas-Corpus und -Cauda (Pfeile), eine relevante Zusatzinformation zu der Ausgangs-CT unmittelbar nach Beginn der klinischen Symptomatik. |
