Schima W, Ba-Ssalamah A Computertomographie- und Magnetresonanztomographie-Diagnostik in der Gastroenterologie: Leber, Gallenblase, Gallenwege und Pankreas Journal für Gastroenterologische und Hepatologische Erkrankungen 2012; 10 (3): 20-28 Volltext (PDF) Summary Praxisrelevanz Fragen zum Artikel Übersicht | ||||||||||||||||||
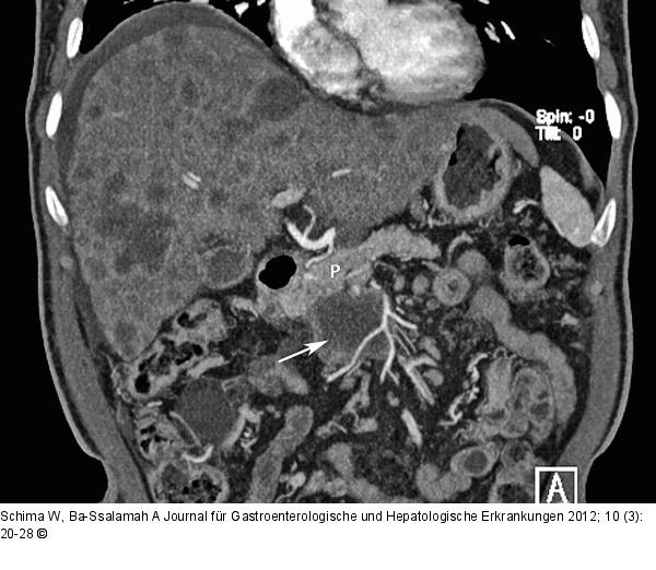
Abbildung 9: Pankreas - Adenokarzinom Adenokarzinom des Pankreas. Die 3D-Rekonstruktion der MDCT zeigt den vom Proc. uncinatus (Pfeil) des Pankreas (P) ausgehenden Tumor, der die A. mes. sup. umwächst (Stadium T4). Es finden sich multiple Lebermetastasen (Stadium M1). |
Abbildung 9: Pankreas - Adenokarzinom
Adenokarzinom des Pankreas. Die 3D-Rekonstruktion der MDCT zeigt den vom Proc. uncinatus (Pfeil) des Pankreas (P) ausgehenden Tumor, der die A. mes. sup. umwächst (Stadium T4). Es finden sich multiple Lebermetastasen (Stadium M1). |
