Krause und Pachernegg
Verlag für Medizin und Wirtschaft
Artikel   Bilder   Volltext

Mobile Version
A-  |   A  |   A+
Werbung
 
Abbildungen und Graphiken
Schima W, Ba-Ssalamah A  
Computertomographie- und Magnetresonanztomographie-Diagnostik in der Gastroenterologie: Leber, Gallenblase, Gallenwege und Pankreas

Journal für Gastroenterologische und Hepatologische Erkrankungen 2012; 10 (3): 20-28

Volltext (PDF)    Summary    Praxisrelevanz    Fragen zum Artikel    Abbildungen   


Abbildung
 
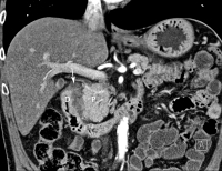
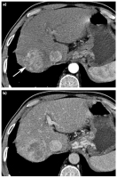
HCC
Abbildung 1: Hepatozelluläres Karzinom (HCC). (a) Die kontrastmittelverstärkte MDCT zeigt typischerweise in der arteriellen Phase eine verstärkte Kontrastmittelaufnahme des HCC (Pfeil) im rechten Leberlappen, neben der V. cava inferior. (b) In der venösen Phase zeigt sich ein rascher Wash-out, was typisch für ein HCC ist.


Keywords: GastroenterologieHCCHepatologieHepatozelluläres KarzinomMDCT
 
 
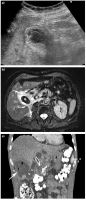
Cholecystis
Abbildung 2a-c: Cholecystitis. (a) Die Sonographie zeigt eine deutlich wandverdickte 3-geschichtete Gallenblase bei akuter Cholecystitis. (b) Die MRT zeigt nicht nur Konkrement (Stern) und die deutlich verdickte Gallenblasenwand, sondern auch einen kleinen intramuralen Abszess (Pfeile). (c) Die kontrastmittelverstärkte MDCT zeigt bei einem anderen Patienten mit schwerer Sepsis eine Perforation (Pfeilspitze) der Gallenblase (G) mit einem großen Leberabszess (Pfeil).


Keywords: CholezystisGastroenterologieHepatologieMDCTMRTSonographie
 
 
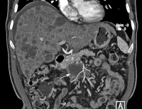
Choledocholithiasis
Abbildung 3: Choledocholithiasis. Die MRCP zeigt ein distales Choledochuskonkrement mit extra- und intrahepatischer Cholangiektasie.


Keywords: CholedocholithiasisGastroenterologieHepatologieMRCP
 
 
Cholangitis
Abbildung 4a-b: Primär sklerosierende Cholangitis im fortgeschrittenen Stadium. (a) Die ERCP kann lediglich die distale Striktur darstellen, nicht jedoch die intrahepatischen Gallenwege. (b) Die MRCP zeigt die ausgeprägten Strikturen intra- und extrahepatisch (Pfeile) mit deutlicher Cholangiektasie.


Keywords: ERCPGastroenterologieHepatologieMRCPPrimärsklerosierende Cholangitis
 
 
Cholecystektomie - Choledochusrevision
Abbildung 5: Striktur nach Cholecystektomie und Choledochusrevision. Die MRCP zeigt eine glatt begrenzte, blendenförmige hochgradige Striktur des Ductus hepaticus communis (Pfeil) mit deutlicher Dilatation der vorgeschalteten Gallenwege.


Keywords: CholedochusrevisionCholezystektomieGastroenterologieHepatologieMRCP
 
 
Klatskin-Tumor
Abbildung 6a-c: Klatskin-Tumor: Wert des leberspezifischen Kontrastmittels Gadoxetic Acid. (a) Die MRCP zeigt eine Striktur des D. hep. comm. (Pfeil). (b, c) Die Gadoxetic Acid-verstärkte T1-gewichtete Sequenz in der hepatobiliären Phase zeigt die Gallenwege kontrastmittelmarkiert und die umgebende Tumormanschette (Pfeilspitzen). Die Bilder sind trotz eines Metallartefakts (Stern) wegen eines Clips nach CHE beurteilbar.


Keywords: GastroenterologieHepatologieKlatskin-TumorMRCP
 
 
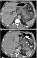
Akute Pankreatitis
Abbildung 7a-b: Akute Pankreatitis. (a) Die kontrastmittelverstärkte CT zeigt wenige Stunden nach Beginn der klinischen Symptomatik eine ödematöse Pankreatitis mit peripankreatischen Exsudatstraßen. Das Pankreasparenchym zeigt noch ein homogenes Enhancement. (b) Vier Tage später zeigt die Kontroll-CT eine ausgedehnte Nekrose im Bereich von Pankreas-Corpus und -Cauda (Pfeile), eine relevante Zusatzinformation zu der Ausgangs-CT unmittelbar nach Beginn der klinischen Symptomatik.


Keywords: CTGastroenterologieHepatologiePankreatitis
 
 
Groove-Pankreatitis
Abbildung 8: Groove-Pankreatitis. Die kontrastmittelverstärkte MDCT zeigt typisch den Entzündungsprozess zwischen Pankreaskopf (P) und Duodenum (D) lokalisiert.


Keywords: GastroenterologieHepatologieMDCTPankreatitis
 
 
Pankreas - Adenokarzinom
Abbildung 9: Adenokarzinom des Pankreas. Die 3D-Rekonstruktion der MDCT zeigt den vom Proc. uncinatus (Pfeil) des Pankreas (P) ausgehenden Tumor, der die A. mes. sup. umwächst (Stadium T4). Es finden sich multiple Lebermetastasen (Stadium M1).


Keywords: AdenokarzinomGastroenterologieHepatologieMDCTPankreas
 
 
 
copyright © 2000–2026 Krause & Pachernegg GmbH | Sitemap | Datenschutz | Impressum
 
Werbung