Aichholzer M, Tomancok B, Wies W, Wurm G, Sonnberger M Ein Jahr Erfahrung mit dem intraoperativen Hochfeld-MRT Journal für Neurologie, Neurochirurgie und Psychiatrie 2013; 14 (3): 114-118 Volltext (PDF) Summary Praxisrelevanz Übersicht | ||||||
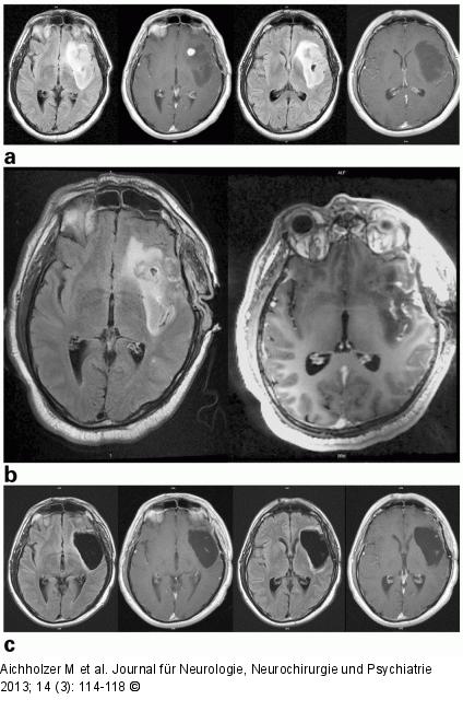
Abbildung 3a-c: iMRT 45-jähriger Patient mit epileptischem Anfall 2009, offener Biopsie am Tumor im Inselbereich 2009 (fibrilläres Astrozytom WHO II), Häufung der epileptischen Anfälle und Tumorwachstum in den MRT-Kontrollen; (a) präoperativ 09/2011 (2× axial Flair/T1 + Kontrastmittel [KM]) mit neuer KM-Aufnahme links frontal; (b) intraoperativ 09/2011 (axial Flair/T1 + KM): KM-affiner Herd ist reseziert, aber noch ausgedehnter Tumorrest in den Randbereichen; (c) 3 Monate postoperativ 03/2012 (2× axial Flair/T1 + KM): geringe Resttumoranteile in den temporodorsalen Anteilen (Histologie: anaplastisches Astrozytom WHO III). |
Abbildung 3a-c: iMRT
45-jähriger Patient mit epileptischem Anfall 2009, offener Biopsie am Tumor im Inselbereich 2009 (fibrilläres Astrozytom WHO II), Häufung der epileptischen Anfälle und Tumorwachstum in den MRT-Kontrollen; (a) präoperativ 09/2011 (2× axial Flair/T1 + Kontrastmittel [KM]) mit neuer KM-Aufnahme links frontal; (b) intraoperativ 09/2011 (axial Flair/T1 + KM): KM-affiner Herd ist reseziert, aber noch ausgedehnter Tumorrest in den Randbereichen; (c) 3 Monate postoperativ 03/2012 (2× axial Flair/T1 + KM): geringe Resttumoranteile in den temporodorsalen Anteilen (Histologie: anaplastisches Astrozytom WHO III). |
