Kerschner K Patient mit Ostiumstenose-Hauptstamm und Bifurkationsstenose - R. interventricularis anterior / R. diagonalis Journal für Kardiologie - Austrian Journal of Cardiology 2005; 12 (9-10): 252 Volltext (PDF) Fallbeschreibung Übersicht
| ||||||||||||||||||
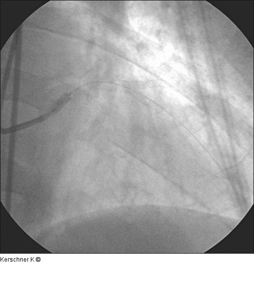
Abbildung 11: Primäre Stentimplantation - Ostiumhauptstamm Primäre Stentimplantation - Ostiumhauptstamm, Taxus Express 2 - 3,5/8 mm mit 16 atm. |
Film starten
Abbildung 11: Primäre Stentimplantation - Ostiumhauptstamm
Primäre Stentimplantation - Ostiumhauptstamm, Taxus Express 2 - 3,5/8 mm mit 16 atm. |
