Kerschner K Patient mit Ostiumstenose-Hauptstamm und Bifurkationsstenose - R. interventricularis anterior / R. diagonalis Journal für Kardiologie - Austrian Journal of Cardiology 2005; 12 (9-10): 252 Volltext (PDF) Fallbeschreibung Übersicht
| ||||||||||||||||||
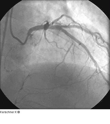
Abbildung 14: Kontrollangiographie Kontrollangiographie nach 3 Monaten - RAO/kranial |
Film starten
Abbildung 14: Kontrollangiographie
Kontrollangiographie nach 3 Monaten - RAO/kranial |
