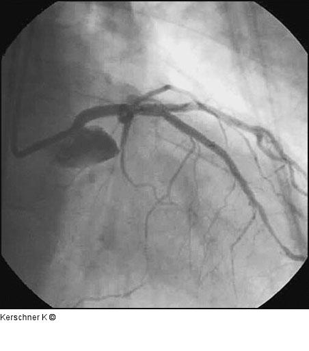
Kerschner K Patient mit Ostiumstenose-Hauptstamm und Bifurkationsstenose - R. interventricularis anterior / R. diagonalis Journal für Kardiologie - Austrian Journal of Cardiology 2005; 12 (9-10): 252 Volltext (PDF) Fallbeschreibung Übersicht
| ||||||||||||||||||
Abbildung 12: Endergebnis RAO/kranial |
