Gruber A, Bavinzski G, Standhardt H, Knosp E Multimodale Therapie zerebraler Aneurysmen. Klinische, technische und angiographische Kriterien in der Entscheidungsfindung Journal für Neurologie, Neurochirurgie und Psychiatrie 2007; 8 (3): 16-26 Volltext (PDF) Fallbeschreibung Übersicht
| ||||||||||||||||
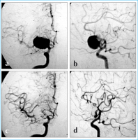
Filmsequenz zu Abbildung 4a-d: Coil-Embolisation Coil-Embolisation. Angiogramme der A. carotis interna in a.p. und seitlicher Projektion (a, b) vor und (c, d) nach endovaskulärer Therapie eines rupturierten Mediabifurkationsaneurysmas rechts. |
Filmsequenz zu Abbildung 4a-d: Coil-Embolisation Coil-Embolisation. Angiogramme der A. carotis interna in a.p. und seitlicher Projektion (a, b) vor und (c, d) nach endovaskulärer Therapie eines rupturierten Mediabifurkationsaneurysmas rechts. |
