Gruber A, Bavinzski G, Standhardt H, Knosp E Multimodale Therapie zerebraler Aneurysmen. Klinische, technische und angiographische Kriterien in der Entscheidungsfindung Journal für Neurologie, Neurochirurgie und Psychiatrie 2007; 8 (3): 16-26 Volltext (PDF) Fallbeschreibung Übersicht
| ||||||||||||||||||
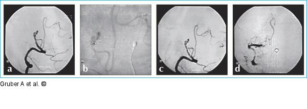
Abbildung 13a-d: "Flow modifiacation"-Technik "Flow modification"-Technik durch "Drosselung". Angiogramme der rechten A. vertebralis in seitlicher Projektion (a) sowie intraaneurysmale Mikroangiogramme (b) nach schwerer Subarachnoidalblutung zeigen ein rupturiertes Vertebralisaneurysma, welches den Abgang der rechten A. cerebelli inferior posterior inkorporiert. Durch partielle Coil-Embolisation der rechten Vertebralarterie in ihrem intraduralen Verlauf proximal des Aneurysmas (c) und gleichzeitiger Heparinisierung über 7 Tage kommt es zu einer langsam progredienten Thrombose dieses Segmentes der Vertebralarterie bei gleichzeitiger Entstehung suffizienter Kollateralkreislaufsysteme für die rechte A. cerebelli inferior posterior (d). |
Abbildung 13a-d: "Flow modifiacation"-Technik
"Flow modification"-Technik durch "Drosselung". Angiogramme der rechten A. vertebralis in seitlicher Projektion (a) sowie intraaneurysmale Mikroangiogramme (b) nach schwerer Subarachnoidalblutung zeigen ein rupturiertes Vertebralisaneurysma, welches den Abgang der rechten A. cerebelli inferior posterior inkorporiert. Durch partielle Coil-Embolisation der rechten Vertebralarterie in ihrem intraduralen Verlauf proximal des Aneurysmas (c) und gleichzeitiger Heparinisierung über 7 Tage kommt es zu einer langsam progredienten Thrombose dieses Segmentes der Vertebralarterie bei gleichzeitiger Entstehung suffizienter Kollateralkreislaufsysteme für die rechte A. cerebelli inferior posterior (d). |
