Schima W, Ba-Ssalamah A Computertomographie- und Magnetresonanztomographie-Diagnostik in der Gastroenterologie: Leber, Gallenblase, Gallenwege und Pankreas Journal für Gastroenterologische und Hepatologische Erkrankungen 2012; 10 (3): 20-28 Volltext (PDF) Summary Praxisrelevanz Fragen zum Artikel Übersicht | ||||||||||||||||||
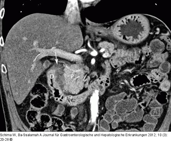
Abbildung 8: Groove-Pankreatitis Groove-Pankreatitis. Die kontrastmittelverstärkte MDCT zeigt typisch den Entzündungsprozess zwischen Pankreaskopf (P) und Duodenum (D) lokalisiert. |
Abbildung 8: Groove-Pankreatitis
Groove-Pankreatitis. Die kontrastmittelverstärkte MDCT zeigt typisch den Entzündungsprozess zwischen Pankreaskopf (P) und Duodenum (D) lokalisiert. |
