Krause und Pachernegg
Verlag für Medizin und Wirtschaft
Artikel   Bilder   Volltext

Mobile Version
A-  |   A  |   A+
Werbung
 
Abbildungen und Graphiken
Prayer D, Brugger PC  
Pränatale Magnetresonanztomographie

Speculum - Zeitschrift für Gynäkologie und Geburtshilfe 2005; 23 (2) (Ausgabe für Schweiz): 13-13
Speculum - Zeitschrift für Gynäkologie und Geburtshilfe 2005; 23 (2) (Ausgabe für Österreich): 13-19

Volltext (PDF)    Abbildungen   


Abbildung
 
Pränatale Magnetresonanztomographie
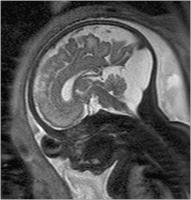
Abbildung 1: Sagittale Schichtführung durch einen Fetus in der 27 SSW. Durch das große "Field of View" kann der ganze Fetus abgebildet werden. Das Profil, einschließlich des harten und weichen Gaumens, ist beurteilbar. Intrazerebral erkennt man kortikal den Beginn der Formation der Zentralregion, Hirnstamm und Kleinhirn. Die räumliche Auflösung ist groß genug, um kleine Strukturen wie das Chiasma opticum darzustellen. Intrauterin zeigt sich darüber hinaus eine regelrechte Nabelschnur, die – im Querschnitt getroffen – 3 Gefäße aufweist.


Keywords: FetusGeburtshilfePränatale MagnetresonanztomographieSpeculum
 
 
Pränatale Magnetresonanztomographie
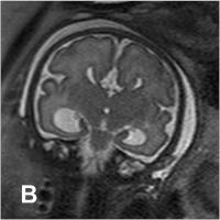
Abbildung 2a-b: SSW 30, Fetus mit Balkenagenesie, A. Medianes Schnittbild: Fehlender Balken, radiäre Gyrierung an der Medialfläche der Hemisphäre. Der Aquädukt und die Vierhügelplatte unauffällig. Der Hirnstamm zeigt dorsal dünklere Signale als ventral, was der normalen, dort bereits in dieser SSW vorhandenen Myelinisierung entspricht. Im Profil geringe Retrognathie. B. Frontales Schnittbild. Typische Konfiguration der Seitenventrikel, die auf Grund der medial der Vorderhörner erkennbaren Probst’sche Bündel weit auseinander stehen. In den erweiterten Temporalhörnern erkennt man eine nahezu senkrecht stehende Hippocampusformation, was einer Malrotation entspricht. Die Gyrierung ist symmetrisch, eine pathologische Konfiguration des frontalen Anteils des Gyrus cinguli, wie sie im Rahmen der Balkenagenesie zu erwarten ist, besteht. Intrazerebral ist die zelldichtere und daher dünklere Stammganglienregion von der helleren weißen Substanz, die ebenfalls in entwicklungsbedingt unterschiedliche Graustufen gegliedert ist, abgrenzbar.


Keywords: BalkenagenesieFetusGeburtshilfePränatale MagnetresonanztomographieSpeculum
 
 
Pränatale Magnetresonanztomographie
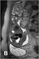
Abbildung 3: 3: 33 SSW. In dieser sagittalen Schnittführung erkennt man einen hochstehenden Torculus Herophili, eine große hintere Schädelgrube, die von einer zerebellären Falz durchzogen wird, sowie einen sonst unauffälligen Inhalt der hinteren Schädelgrube, wobei insbesonders kein Hinweis auf eine Gewebekompression besteht. Auch supratentoriell regelrechte Verhältnisse. Die Diagnose lautet daher Megazisterna magna. Neurologische Symptome sind hier nicht zu erwarten.


Keywords: FetusGeburtshilfePränatale MagnetresonanztomographieSpeculumTorculus Herophili
 
 
Pränatale Magnetresonanztomographie
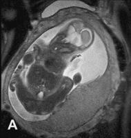
Abbildung 4: Fetus in der 32. SSW mit linksseitiger kongenitaler Zwerchfellhernie, koronale Schichtführung. Mit Hilfe der hier verwendeten Kontrastparameter können intrathorakal mit Mekonium gefüllten Darmanteile sehr hell dargestellt werden. Die Leber, sie ist etwas weniger hell als Mekonium, liegt intrabdominal. Am Hals ist auch die Glandula thyroidea zu erkennen.


Keywords: FetusGeburtshilfePränatale MagnetresonanztomographieSpeculumZwerchfellhernie
 
 
Pränatale Magnetresonanztomographie
Abbildung 5: 30. SSW, axiale Schichtführung. Auf der linken Bildseite zeigen sich, am Rand des Seitenventrikels gelegen, zwei dunkle Knötchen, die subependymalen Riesenzellastrozytomen entsprechen, und für das Vorliegen einer tuberösen Sklerose pathognomonisch sind.


Keywords: FetusGeburtshilfePränatale MagnetresonanztomographieSkleroseSpeculum
 
 
Pränatale Magnetresonanztomographie
Abbildung 6a-b: Normale, homogene und glatt begrenzte Plazenta in der 26. SSW. B. gleiche SSW, die Plazenta hat jedoch eine pathologisch unruhige Binnenstruktur und eine unregelmäßige Oberfläche. Der Fetus weist eine Wachstumsrestriktion auf.


Keywords: FetusGeburtshilfePlazentaPränatale MagnetresonanztomographieSpeculum
 
 
 
copyright © 2000–2026 Krause & Pachernegg GmbH | Sitemap | Datenschutz | Impressum
 
Werbung