Prayer D, Brugger PC Pränatale Magnetresonanztomographie Speculum - Zeitschrift für Gynäkologie und Geburtshilfe 2005; 23 (2) (Ausgabe für Schweiz): 13-13 Speculum - Zeitschrift für Gynäkologie und Geburtshilfe 2005; 23 (2) (Ausgabe für Österreich): 13-19 Volltext (PDF) Übersicht | ||||||||||||
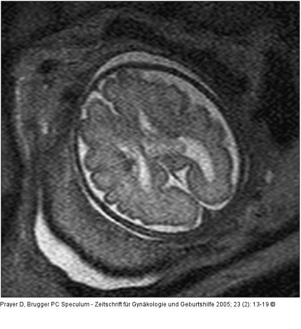
Abbildung 5: Pränatale Magnetresonanztomographie 30. SSW, axiale Schichtführung. Auf der linken Bildseite zeigen sich, am Rand des Seitenventrikels gelegen, zwei dunkle Knötchen, die subependymalen Riesenzellastrozytomen entsprechen, und für das Vorliegen einer tuberösen Sklerose pathognomonisch sind. |
Abbildung 5: Pränatale Magnetresonanztomographie
30. SSW, axiale Schichtführung. Auf der linken Bildseite zeigen sich, am Rand des Seitenventrikels gelegen, zwei dunkle Knötchen, die subependymalen Riesenzellastrozytomen entsprechen, und für das Vorliegen einer tuberösen Sklerose pathognomonisch sind. |
