Prayer D, Brugger PC Pränatale Magnetresonanztomographie Speculum - Zeitschrift für Gynäkologie und Geburtshilfe 2005; 23 (2) (Ausgabe für Schweiz): 13-13 Speculum - Zeitschrift für Gynäkologie und Geburtshilfe 2005; 23 (2) (Ausgabe für Österreich): 13-19 Volltext (PDF) Übersicht | ||||||||||||
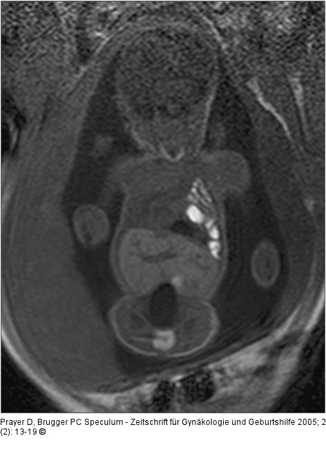
Abbildung 4: Pränatale Magnetresonanztomographie Fetus in der 32. SSW mit linksseitiger kongenitaler Zwerchfellhernie, koronale Schichtführung. Mit Hilfe der hier verwendeten Kontrastparameter können intrathorakal mit Mekonium gefüllten Darmanteile sehr hell dargestellt werden. Die Leber, sie ist etwas weniger hell als Mekonium, liegt intrabdominal. Am Hals ist auch die Glandula thyroidea zu erkennen. |
Abbildung 4: Pränatale Magnetresonanztomographie
Fetus in der 32. SSW mit linksseitiger kongenitaler Zwerchfellhernie, koronale Schichtführung. Mit Hilfe der hier verwendeten Kontrastparameter können intrathorakal mit Mekonium gefüllten Darmanteile sehr hell dargestellt werden. Die Leber, sie ist etwas weniger hell als Mekonium, liegt intrabdominal. Am Hals ist auch die Glandula thyroidea zu erkennen. |
