Prayer D, Brugger PC Pränatale Magnetresonanztomographie Speculum - Zeitschrift für Gynäkologie und Geburtshilfe 2005; 23 (2) (Ausgabe für Schweiz): 13-13 Speculum - Zeitschrift für Gynäkologie und Geburtshilfe 2005; 23 (2) (Ausgabe für Österreich): 13-19 Volltext (PDF) Übersicht | ||||||||||||
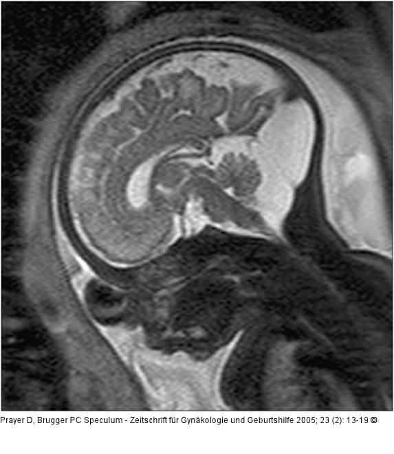
Abbildung 3: Pränatale Magnetresonanztomographie 3: 33 SSW. In dieser sagittalen Schnittführung erkennt man einen hochstehenden Torculus Herophili, eine große hintere Schädelgrube, die von einer zerebellären Falz durchzogen wird, sowie einen sonst unauffälligen Inhalt der hinteren Schädelgrube, wobei insbesonders kein Hinweis auf eine Gewebekompression besteht. Auch supratentoriell regelrechte Verhältnisse. Die Diagnose lautet daher Megazisterna magna. Neurologische Symptome sind hier nicht zu erwarten. |
Abbildung 3: Pränatale Magnetresonanztomographie
3: 33 SSW. In dieser sagittalen Schnittführung erkennt man einen hochstehenden Torculus Herophili, eine große hintere Schädelgrube, die von einer zerebellären Falz durchzogen wird, sowie einen sonst unauffälligen Inhalt der hinteren Schädelgrube, wobei insbesonders kein Hinweis auf eine Gewebekompression besteht. Auch supratentoriell regelrechte Verhältnisse. Die Diagnose lautet daher Megazisterna magna. Neurologische Symptome sind hier nicht zu erwarten. |
