Prayer D, Brugger PC Pränatale Magnetresonanztomographie Speculum - Zeitschrift für Gynäkologie und Geburtshilfe 2005; 23 (2) (Ausgabe für Schweiz): 13-13 Speculum - Zeitschrift für Gynäkologie und Geburtshilfe 2005; 23 (2) (Ausgabe für Österreich): 13-19 Volltext (PDF) Übersicht | ||||||||||||
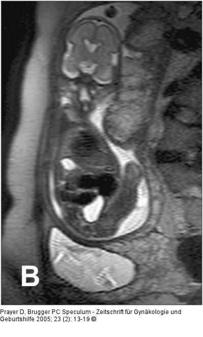
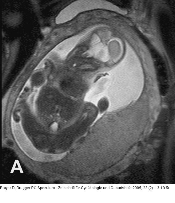
Abbildung 6a-b: Pränatale Magnetresonanztomographie Normale, homogene und glatt begrenzte Plazenta in der 26. SSW. B. gleiche SSW, die Plazenta hat jedoch eine pathologisch unruhige Binnenstruktur und eine unregelmäßige Oberfläche. Der Fetus weist eine Wachstumsrestriktion auf. |
Abbildung 6a
Abbildung 6b
Abbildung 6a-b: Pränatale Magnetresonanztomographie
Normale, homogene und glatt begrenzte Plazenta in der 26. SSW. B. gleiche SSW, die Plazenta hat jedoch eine pathologisch unruhige Binnenstruktur und eine unregelmäßige Oberfläche. Der Fetus weist eine Wachstumsrestriktion auf. |
