Prayer D, Brugger PC Pränatale Magnetresonanztomographie Speculum - Zeitschrift für Gynäkologie und Geburtshilfe 2005; 23 (2) (Ausgabe für Schweiz): 13-13 Speculum - Zeitschrift für Gynäkologie und Geburtshilfe 2005; 23 (2) (Ausgabe für Österreich): 13-19 Volltext (PDF) Übersicht | ||||||||||||
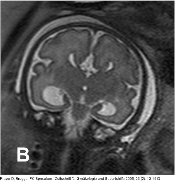
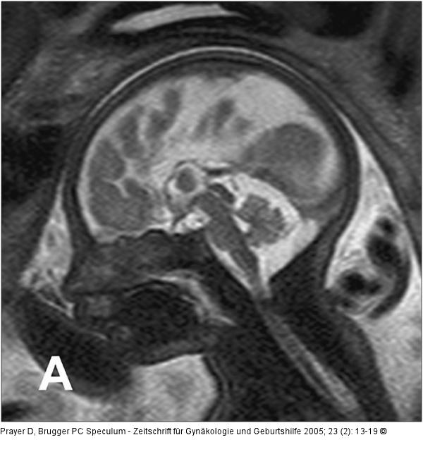
Abbildung 2a-b: Pränatale Magnetresonanztomographie SSW 30, Fetus mit Balkenagenesie, A. Medianes Schnittbild: Fehlender Balken, radiäre Gyrierung an der Medialfläche der Hemisphäre. Der Aquädukt und die Vierhügelplatte unauffällig. Der Hirnstamm zeigt dorsal dünklere Signale als ventral, was der normalen, dort bereits in dieser SSW vorhandenen Myelinisierung entspricht. Im Profil geringe Retrognathie. B. Frontales Schnittbild. Typische Konfiguration der Seitenventrikel, die auf Grund der medial der Vorderhörner erkennbaren Probst’sche Bündel weit auseinander stehen. In den erweiterten Temporalhörnern erkennt man eine nahezu senkrecht stehende Hippocampusformation, was einer Malrotation entspricht. Die Gyrierung ist symmetrisch, eine pathologische Konfiguration des frontalen Anteils des Gyrus cinguli, wie sie im Rahmen der Balkenagenesie zu erwarten ist, besteht. Intrazerebral ist die zelldichtere und daher dünklere Stammganglienregion von der helleren weißen Substanz, die ebenfalls in entwicklungsbedingt unterschiedliche Graustufen gegliedert ist, abgrenzbar. |
Abbildung 2a
Abbildung 2b
Abbildung 2a-b: Pränatale Magnetresonanztomographie
SSW 30, Fetus mit Balkenagenesie, A. Medianes Schnittbild: Fehlender Balken, radiäre Gyrierung an der Medialfläche der Hemisphäre. Der Aquädukt und die Vierhügelplatte unauffällig. Der Hirnstamm zeigt dorsal dünklere Signale als ventral, was der normalen, dort bereits in dieser SSW vorhandenen Myelinisierung entspricht. Im Profil geringe Retrognathie. B. Frontales Schnittbild. Typische Konfiguration der Seitenventrikel, die auf Grund der medial der Vorderhörner erkennbaren Probst’sche Bündel weit auseinander stehen. In den erweiterten Temporalhörnern erkennt man eine nahezu senkrecht stehende Hippocampusformation, was einer Malrotation entspricht. Die Gyrierung ist symmetrisch, eine pathologische Konfiguration des frontalen Anteils des Gyrus cinguli, wie sie im Rahmen der Balkenagenesie zu erwarten ist, besteht. Intrazerebral ist die zelldichtere und daher dünklere Stammganglienregion von der helleren weißen Substanz, die ebenfalls in entwicklungsbedingt unterschiedliche Graustufen gegliedert ist, abgrenzbar. |
