Gruber A, Bavinzski G, Standhardt H, Knosp E Multimodale Therapie zerebraler Aneurysmen. Klinische, technische und angiographische Kriterien in der Entscheidungsfindung Journal für Neurologie, Neurochirurgie und Psychiatrie 2007; 8 (3): 16-26 Volltext (PDF) Fallbeschreibung Übersicht
| ||||||||||||||||||
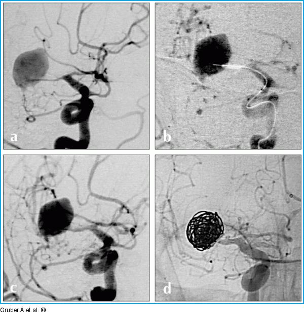
Abbildung 8a-d: Ballon-Angioplastie Präinterventionelle Ballon-Angioplastie. Angiogramme der rechten A. carotis interna zeigen einen schweren segmentalen posthämorrhagischen Vasospasmus des Mediahauptstammes am Tag 7 nach aneurysmatischer Subarachnoidalblutung (a). Eine chirurgische Versorgung des Aneurysmas ist nicht bzw. nur unter erheblicher Morbidität möglich. Nach Ballon-Angioplastie des spastischen Mediahauptstammes (b) und merklicher Zunahme des Gefäßkalibers (c) ist eine sichere Begehung des Aneurysmas mit einem Mikrokatheter und selektive Coil-Embolisation (d) möglich. |
Abbildung 8a-d: Ballon-Angioplastie
Präinterventionelle Ballon-Angioplastie. Angiogramme der rechten A. carotis interna zeigen einen schweren segmentalen posthämorrhagischen Vasospasmus des Mediahauptstammes am Tag 7 nach aneurysmatischer Subarachnoidalblutung (a). Eine chirurgische Versorgung des Aneurysmas ist nicht bzw. nur unter erheblicher Morbidität möglich. Nach Ballon-Angioplastie des spastischen Mediahauptstammes (b) und merklicher Zunahme des Gefäßkalibers (c) ist eine sichere Begehung des Aneurysmas mit einem Mikrokatheter und selektive Coil-Embolisation (d) möglich. |
